吃饭总是塞牙怎么回事
1、刷牙频繁的塞牙,如果不及时清洁口腔卫生,会导致口腔内的细菌增多,牙齿会疼,一段时候后,你刷牙还会流血,如果牙齿质量不好,还可能会产生炎症。

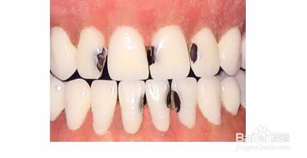
2、牙线在牙齿腐蚀的洞,会有很多的食物残渣,你越往里面掏出来,渐渐的牙洞越来越大,这时候就可能需要拔牙了。可以使用牙线剔除牙齿缝隙内部的杂质,注意不要用牙签,因为牙签可能会导致牙缝变大。

3、漱口综上来看,就算是塞牙,也尽量不要用牙签来踢出,可以用牙线,这样牙缝就不会增大,也可以吃完饭的时候去刷牙,或者在吃完饭之后就用清水漱漱口。

4、很多食物都会导致塞牙的,我们可以把那些容易塞牙的东西,切小一点。比如是肉类,切小点、煮熟一点。这样就不容易塞牙了。

5、洗牙牙缝变大,吃饭很容易塞牙,如果是在聚餐的时候,你也不好意思当总剔牙,在别人面前剔牙是非常不礼貌的行为。总是塞牙也是病,要及时去就医,定期去牙科医院洗牙。现在很多国家、地区的人都会每半年去洗一次牙,我们如果还不太熟悉或者比较忙的话,可以一年一次。
